为什么湖北新增病例突增14840例?临床诊断病例是什么?
的有关信息介绍如下:眼下正值新型冠状病毒肺炎流行的季节,相信许多人与我一样,每天起床第一件事就是关注昨天又确诊了多少了新型冠状病毒。但让人惊讶的是,相比前面每天几千例病例的增加,2020年2月12日0时-24时我国新增新型冠状病毒肺炎确诊病例突然增加了15000多例,其中湖北地区新增病例高达14840例。

临床诊断病例纳入确诊病例导致这一情况发生
为什么昨天回出现确诊病例的突然增加呢?从后面官方发布的情况,我们可以知道是在湖北地区新增病例中,其中有13332例是临床诊断病例,占了绝大多数。

临床诊断病例是什么意思?
所谓的临床诊断病例,是指对于本次疫情高发的湖北地区,我们病人在有典型的影像学表现和实验室检查或临床症状时,虽然没有核酸检查阳性或基因测序证据,但也可以考虑为新型冠状病毒肺炎患者,称为临床诊断病例,需要注意的是,除湖北地区以外,其他地区的确诊必须依靠核酸检查或病毒基因测序。

临床诊断病例纳入确诊病例有个有何意义?
虽然今天确诊病例明显增加,但我们可以发现,疑似病人也明显下降,相信明天的新增病例会明显降低。所以,大家不必过于担心,临床诊断病例的出现,是件好事,证明越来越多的病人得到规范化诊治,相信我们一定会战胜新型冠状病毒肺炎。
如何诊断新型冠状病毒肺炎
根据我国发布的最新版新型冠状病毒肺炎诊疗方案,新冠肺炎的诊断标准为:
一、湖北以外地区:
(一)疑似病例:有流行病学史中的任何一条,且符合临床表现中任意2条,无明确流行病学史者,需符合临床表现中的3条。
1、流行病学史:①发病前14天内有武汉市及周边地区,或其他有病例报告社区的旅行史或居住史;②发病前14天内曾接触过来自武汉市及周边地区,或来自有病例报告社区的发热或有呼吸道症状的患者;③聚集性发病;④与新型冠状病毒感染者(病原核酸检测阳性者)有接触史。
2、临床表现:①发热和/或呼吸道症状(干咳、咽痛、流涕等);②发病早期白细胞总数正常或降低,或淋巴细胞计数减少;③胸部影像学检查早期呈现多发小斑片影及间质改变,以肺外带明显,进而发展为双肺多发磨玻璃影、浸润影,严重者可出现肺实变,胸腔积液少见;
(二)确诊病例:疑似病例,具备以下病原学证据之一者。
1、呼吸道标本或血液标本实时荧光RT-PCR检测新型冠状病毒核酸阳性;
2、呼吸道标本或血液标本病毒基因测序,与已知的新型冠状病毒高度同源。

二、湖北地区
(一)疑似病例:有上述流行病学史中任意一条或无流行病学史,且同时符合上述临床表现的①、②。
(二)临床诊断病例:疑似病例同时具有上述影像学特征者。
(三)确诊病例:疑似或临床诊断病例,有上述确诊病例中任意一项病原学证据。
本文由全科扫地僧为您解答,希望对您有所帮助。不足之处,敬请指正,文章仅供参考,不作为医疗建议。
啊呀!现在,实时打开电脑突然发现:新增确诊病例15153人!!相信很多人都会惊讶,怎么突然增加这么多确诊病例?疫情事态更加严重了么?爆发了?控制不住了?NO,NO,NO!恰恰相反,如此这般操作下来,疫情会更快,更好的得到控制!!这让我这个临床医生看到的疫情会提前结束的曙光!
更改了更合理的、快速的诊断标准,患者得到了火线确诊,使得新增病例数激增!
新增病例数激增,这很简单,也是在意料之中的,为什么这么说呢?因为以前的诊断,都是靠病毒的核酸的检测确定诊断。
就像当时“吹哨人”现已经牺牲的李文亮医生,自己一直怀疑自己是新冠肺炎,临床医生看着也非常像,为什么怀疑?太特殊的病了,医生看到都会觉得恐怖,窒息,压迫,这是什么病呀,恐怖性的病情急转直下,“大白肺”,窒息,无法呼吸,不管您平时有多健康,多强壮,毫不犹豫击垮你、吞噬你!
可当时,非要等核酸检测结果才能上报疾控中心,李文亮1月10日咳嗽,1月11日发热,1月12日住院,直到2月1日核酸检测才阳性,住院19天才确诊为新冠肺炎!19天呀!19天呀!
2月7日,确诊后的6天,也许是5天(2月6日),“吹哨人”现已经牺牲的李文亮医生,就永远都的离开了我们!他经过了很多次的核酸检测,最后才尘埃落定。他所经历的也是所有患者一直在经历的,导致患者迟迟不能确诊,传染源在街道流动,疫情得不到完全的控制。
其实李文亮医生他一开始不是吗?他从患病那一刻,一开始李文亮医生患的就是新冠肺炎,只不过当时的诊断标准。必须要核酸检测,他才迟迟住院19天才确诊!

而现在在湖北,改变了诊断标准,确诊新冠肺炎,是看症状+CT +血常规等,临床医生,你看着像就是喽!
不需要等待核酸检测的结果了,这是个大快人心的消息,令人振奋。
医生看到都会觉得恐怖,恐怖性的病情急转直下,“大白肺”,窒息,无法呼吸,不管平时有多健康,多强壮,毫不犹豫击垮你、吞噬你!那好,临床一线医生看到了,好了,就是你了,你就是新冠肺炎,我不用再等迟迟现身的核酸检测阳性了。我说是,就是喽。
打个比方,就像什么,大米好比正常人,黄豆好比新冠肺炎患者,大米和黄豆混在一起。要把大米黄豆分开来,我原来需要用镊子一个个挑挑来,挑完之后放到灯底下看啊,这个是黄豆。
黄豆太多,镊子挑起来太慢。怎么办?我找了个筛子。我用筛子把大米筛出去,把黄豆留下。用最短的时间把黄豆挑出来,使黄豆和大米分开来。
换了新冠肺炎的诊断标准,也就是我换了一种挑豆子的方式,更快的速度,更短的时间,把新冠肺炎的患者挑了出来。使新冠肺炎患者和健康人群迅速分开,就能减少冠肺炎患者在社会上的流动性,保护人群,避免更多人被感染。
然后武汉又开始了地毯式的排查。注意是地毯式!地毯式!政府工作人员下沉,把所有的发热的患者,有可能的患者都列入到排查手段的,所以确诊病例数才会暴增。
使新冠肺炎的患者和正常人群隔离,才能更有效的减少新增加的病例,集中火力诊治患病的新冠肺炎患者。
不会出现或减少出现:现有患者还没治好,新患病的又跑步跟上来。减少恶性循环,减少新增病例,减轻医务工作者的负荷,使有限的医疗资源得到最大的优化,而不至于把超负荷工作的医务工作者击垮,不至于让医疗系统崩溃。
保护一切“大米”(健康人群),最大限度隔离救治“黄豆”(新冠肺炎患者),所以才会出现一夜之间确诊病例暴增。近期确诊病例的激增才会更快的迎来我们期待已久的“拐点”出现!!期待“拐点”!!

我是妇产科的王晓莉医生喜欢我关注+点赞+评论!
今天湖北新增病例突然爆炸性增长,一下子增加了14840例。很多人打开手机看到这个消息之后,都惊呼是不是新闻编辑写错了,不敢相信自己的眼睛。
但是,大家也不要恐慌,今天数字的爆炸性增长,我认为主要有两个重要原因
第一,政府和防疫机构开始下沉,彻底摸查所有人员,对湖北绝大多数人员,尤其是疑似病例进行了摸查,该收的病人全部集中隔离收治,防止疫情传播扩散。
第二,是诊断标准发生了变化。不再以核算检测阳性作为确诊标准,而是采用症状+影像学表现作为确诊的标准。
只要患者有发热+咳嗽+胸痛等症状,CT检查显示胸部有肺炎病变表现,那么,无论核酸检测是否为阳性,均将其视为确诊病例,收入医院进行隔离治疗。这就是临床诊断病例。
为什么要放弃核酸检测而采用症状+影像学检查的方法来确诊病人呢?
主要的原因就是核酸检测的准确性不够好,不够灵敏。很多明明是冠状病毒感染的患者,但是核酸检测就是显示阴性。这个是可以理解的,因为这次的新型冠状病毒是一种新发现的病毒,大家对它的认识还不够深入,因此,检测试剂盒的敏感性还不够。
前期大量的临床实践发现了这个问题,专家认为结合症状和影像学检查,敏感性更高,更加可靠,所以,现在采用了这种方法来确诊病人。
这样做有什么好处呢?
这样做的好处很大。
前期,很多核酸检测的病人无法被认定为确诊病人,无法收入医院集中隔离治疗,只能在家居家隔离治疗。居家隔离期间,由于和家人共处一室,且普通大众缺乏有效的预防知识,往往导致一家人一起被感染(别说普通大众,就是医生在这种情况下也很容易被感染)。居家隔离期间总要吃饭吧?因此家里面总要派个人上街去买菜吧,这个人可能已经感染了病毒,但是正好处于潜伏期,没有发烧,因此他能够通过小区的体温监测。但是他也有传染性,导致更多的人被传染。
这就形成了一个恶性循环,导致更多的人被感染。
因此,现在采用这种新标准,再加上更加严格、全面的排查,再加上不断扩充的收容病人能力,以及全国各地援助的医疗力量,力争将所有感染病人隔离收治,限制行动,采取人员进行固定保障。这样,可以有效减少甚至是杜绝疑似患者和轻症患者在社会上的流动性,从而更好的控制疫情。
目前还需要怎么做
采用了新标准之后,一定要多方配合,这不是医疗系统一家的事情,各个政府部门、社区都要发挥自己的作用,一定要把排查工作抓实,一定要排查到各家各户,不漏一人。
另外,要不断加大医院的收容能力,多建方舱医院。因为这个疾病大多数是轻症,轻症患者其实只需要一些基础保障就能够自愈。但是这些轻症患者如果不集中起来,也是最大的传染源。因此一定要切实加强对轻症患者的管理。给这些病人做好生活保障,让他们就在隔离区里面恢复,不要在社会上移动了。
第三,还要注意转运病人司机和下基层排查人员的防护,不要因此产生新的感染者。昨天看武汉转运大巴车司机的防护,我觉得做的不是特别严密,很容易造成感染。一定要加强这些人员的教育和保护。
大量确诊数据不要惊慌,我认为这至少体现了我们的开始了大范围的排查工作,这是有利的信号。
今天很多网友都在咨询我这样两个问题,湖北新增的确诊病例突然增多了15111,为什么?很多人说是因为使用了临床诊断病例标准,这又是什么?

首先要解释为什么突然增多?
是患病者多了这么多吗?其实并不是的。
在《新型冠状病毒感染的肺炎诊疗方案(试行第五版)》中,将湖北省与其他地方的确诊办法做出了区别。
在其他省份,我们仍然按照核酸检测阳性的办法确诊,因为这是“金标准”。
“金标准”并不一定是最佳的诊断办法,但它一定是最准确的办法。因为只有核酸阳性,我们才能有确凿的证据说找到了新冠病毒感染的依据,才能最准确的告诉患者是确诊了。使用核酸检测这样一个“金标准”当然更准确,但是遗憾的是它的检出率仅仅为30%~50%,还要加上试剂的紧缺以及检查的高昂费用,真实的检出率会更低。
在这样一个与疫情斗争的关键时刻,我们绝不能漏诊掉一个病人,特别是在湖北,医疗资源有限,漏诊和确诊所接受的医疗资源也是不一样的,因此,大量的漏诊后果不敢设想的。于是,专家们提出了“临床诊断”的办法,目前来看,不是一个最准确的诊断办法,但是是目前最佳的一种诊断办法。
什么是临床诊断?

在《新型冠状病毒感染的肺炎诊疗方案(试行第五版)》中,规定了临床诊断是疑似病例具有肺炎影像学特征者。
也就是说,临床诊断=疑似病例+影像学特征。
疑似病例容易判断,这个临床诊断的难度就在影像学特征上,这里骨科王医生建议所有的患者都做CT检查,胸片筛选在这个时间点上已经没有必要。
在这个时候开始启用临床诊断还有一个很关键的因素就是:随着疫情的发展,医生对新冠病毒肺炎胸部CT的认识不断加深,CT诊断的阳性率也是不断提高。

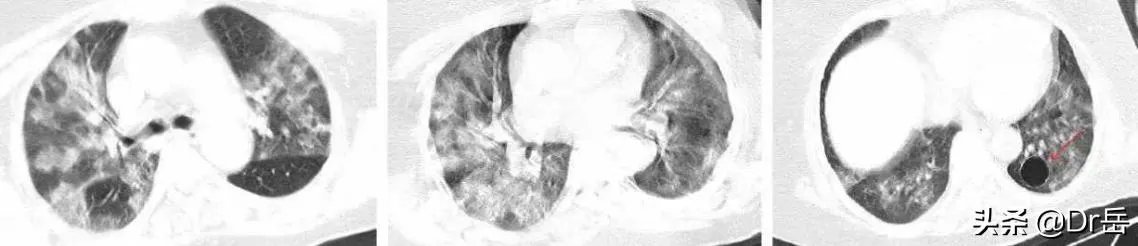
上图总结了新冠病毒CT的典型影像学表现,这是在不断的认识中总结出来的经验。当我们对CT还不是很清楚的时候,也就是疫情初期,核酸检测一定是优于临床诊断的。
案例分享:
陈某,男,50。发热4天,T:38.2°C,伴干咳、乏力、胸闷;
流行病史:武汉地区,1.16从武汉乘火车返回,聚集性发病;
CT表现特点:1.23日CT示右肺上叶磨玻璃样渗出影,内见空气支气管影及增粗血管影;
1.26日CT示右肺病变明显增多、增大,新发左肺病变。




从病变早期到进展期,像这样一种典型的CT表现的疑似病例患者,我们就完全有理由确诊,在以前,如果核酸检测是阴性,那么这个病人仍然是疑似病例,这对这个病人是不公平的。
总结:
临床诊断不是“金标准”,不是最准确的诊断办法,但是,一定是这个疫情抗战的关键时期针对湖北省最有利的一个办法。而且,随着经验的不断增多,临床诊断的准确性会不断提高。感谢关注,我是骨科王医生。

这次武汉病例突然增加14,000多例,其中有13,000多例属于临床诊断。我想说的是,首先大家不要恐慌,新病例突然大量增加,并不是由于疫情短暂性的爆发,而是调整了诊断标准。以前的确诊标准是病毒的核酸检测,但是由于其阳性率不高,漏诊的概率较大,因此经过调整以后,决定临床诊断为主,所以就出现了大量被确诊的病例。

最新全国疫情图
什么是病毒的核酸检测
核酸其实就是DNA和RNA,在人体当中DNA是遗传物质,而RNA用于翻译及转录DNA。病毒的遗传物质相对来说比较简单,其遗传物质可以是DNA,也可以是RNA。我们知道遗传物质对于一种生物来说是非常重要的,病毒的核酸检测其实就是对病毒的遗传物质进行检测,类似于通过各种方法查询到这个病毒的身份证号码。

核酸检测实验室
目前比较常用的病毒核酸检测技术有:
核酸扩增技术
核酸杂交技术
基因芯片技术
基因测序
本次的新型冠状病毒用到的RT-PCR技术就属于核酸扩增技术。
核酸检测的优缺点
前文我们已经说过,核酸检测就类似于查找病毒的身份证号码,如果身份证号码一旦对上,其准确率非常高的。但是有些病毒反侦察能力特别强,它可能会将自己的这段身份证号码打上马赛克或者故意遮挡,导致我们目前的技术不能准确的测到病毒的身份证号码。
如果以核酸检测结果作为唯一诊断标准,那么有些感染的患者可能会因为核酸检测为阴性被漏诊,在这个时期如果被漏诊,患者回到人群中可能会引起更多人的感染。
临床诊断是什么?引入临床诊断的好处是什么?
正是因为核酸检测的假阴性率较高,专家们才引入了临床诊断作为主要标准。临床诊断的特点就是综合考虑,在诊断的时候需要结合患者的病史、症状、影像学检查和实验室检查,再做好鉴别诊断,最后做出的临床确诊。也就是说不管患者的核酸检测是否是阳性,只要符合新型冠状病毒肺炎的临床特点,就可以给予新型冠状病毒肺炎的诊断。本次增加的1万多例临床诊断的患者就包括那些核酸检测是阴性,但是临床诊断符合标准的患者。

新型冠状病毒肺炎CT表现
临床诊断的好处就是最大程度的避免漏诊。实践是检验真理的唯一标准,很多新型冠状病毒性肺炎患者的核酸检测都是阴性,如果仍然以核酸检测作为标准,那么很多患者都会被漏诊。在这种特殊时期,大面积传染的情况下,选择临床诊断为主,是一个非常明智的选择。
临床诊断和核酸检测之间的关系
这两个诊断方法之间是有重叠部分的,但并不是完全重叠,因此核酸检测是阴性的患者不代表他就没有被这种病毒感染,而临床诊断符合标准的,也不一定百分百是新型冠状病毒的感染。剩下的问题是到底以核酸检测为主还是临床检测为主?在这种特殊的情况下,只要患者满足临床诊断或者核酸诊断其中一个标准,就可以确定诊断。
这两者的关系类似于,癌症的临床诊断和病理诊断。我们都知道癌症的病理诊断是金标准,但是很多时候即便不做病理,从其临床特点来看,也基本上可以确诊为是癌症。所以临床诊断和核酸检测之间并不冲突,总的宗旨是最大程度的减少漏诊。
总结
目前每一个中国人都非常关注这次运行,每一个中国人也都非常希望能够度过这次疫情,每一个人都应该做好自己,医护人员做好本职工作,患者积极配合治疗,普通居民做好防护。这次新增病例的突然大增,是由于诊断标准做了一些调整,因此大家也不必过度恐慌。我们自己也能看到每一个人为这次疫情做的努力,也看到大家为这次疫情已经做出了牺牲,所以我有理由相信我们能够战胜这次疫情。
湖北新增确诊病例14840例,其中包括“临床诊断”病例13332例,有很多人问我,是不是疫情更严峻了。
其实不用太过紧张,这是对诊断标准作了调整引起的数据上涨。目的是实施湖北地区疫情的歼灭战。
湖北以外的地区新增确诊人数已经连续八天下降,意味着外围散布疫情已经出现拐点。主要继续巩固战果,湖北外疫情应该能够很快消灭。
外围战场出现转机,此时吹响主要战场的歼灭战号角,为的是趁势追击,加快全部疫情拐点的到来,迅速解决疫情。
调整的诊断标准包括:临床诊断。在试行的第五版诊疗方案中,提出了湖北省内可以使用肺部CT作为临床诊断标准。
之所以使用肺部CT作为诊断,是因为肺部CT简单快速。有经验的呼吸科专家,对于肺部CT有很高的敏感性,能够比较好地区分新冠肺炎与普通肺炎的区别。
新型冠状病毒肺炎的典型表现是:磨玻璃影和浸润影。钟南山院士的新论文提到,有76%的新冠肺炎病人肺部CT显示典型表现。
所以为了快速推进诊治,控制疫情,选用比核酸检测更快的诊断标准,不漏掉一个病人。这种操作,需要的就是高效的国家机器。
希望这场歼灭战能够早日成功,全国疫情出现拐点。

对于湖北新增病例14840是绝对好事,这是目前医疗重大改革,也是与疫情决战的时刻。
2月12日以前 ,一直是以核酸阳当确诊的唯一标准,只有通过核酸检测阳性,才能纳入我们每天所看到的数据,可是目前的医疗资源,没办法每个疑似病例都去做检测,而且在加上核酸检测报告会出现“假阴性”的存在,这就像打仗,疑似病例就潜伏中的敌人,而“假阴性”是间谍中的间谍,可以混淆我们的判断。


而这一次的突发万例确诊病例,就是把这些潜在的敌人曝光了出来,只要敌人不在暗处,那我们就好消灭他们,哪怕错杀1000也不放过一个。
所以这次的突发病例是一件好事,不必惊慌。
临床诊断是什么?
临床诊断就是通过医生的经验在根据你当前的症状来判断,不用去做核酸检测。
北京朝阳医院副院长童朝辉说过“在看病诊断肺炎时,能够拿得到的病原学,也就20%-30%,剩下的70%-80%要靠临床诊断”
从这次的肺炎到发展,基本可以确定试剂盒和CT都有不容忽视的假阴性概率,所以我们现在不能只依赖核酸检测,而忽视了医生的诊治经验,让患者得不到有效的治疗和管理,也不能向有关部门提供真实的疫情数据。

临床诊断标准是什么?
目前标准;只要符合“发热和呼吸道症状”和“双肺CT影像学改变”这两条是目前的临床标准,如果出现变可以纳入为确诊病例
这个临床诊断对于社会来说,可以堵住疫情的传播漏洞,之前有大量未确诊人群的存在,对疫情来说是一个潜在的漏洞,就相当于我们在明处,敌人在暗处,而临床诊断是一个可以让所有潜在漏洞全部曝光出来,这样我们才能趁早切断传播途径

谢谢邀请!

今天早晨起来就看到,全国确诊病例数增加15153例,是不是很多小伙伴都被吓了一大跳,认为疫情更加严重了?真实情况真的是这样吗?其实小伙伴们不用担心、不用焦虑,数量快速增加并不代表疫情的真实发展情况,为什么我这么说呢,来看我对这个数字的分析。
从数据来看,全国确诊病例其中湖北和武汉占了绝大多数,湖北省新增病例数14840例,湖北还是全国疫情最核心最严重的区域,其他省市自治区还是以少数散发病例为主,所以目前除湖北外地区,包括我在的江苏地区都是可控状态,所以大家可以放心。
如果大家都比较关注数字的变化,应该知道这几天全国确诊新增病例数已经从3000+降到了2000+,突然一下子有暴涨到了15000+,可能很多人都懵了。
如果大家观察仔细的话,可以看到新增病例中包括13000+都是“临床诊断病例”,而不是“确诊病例”。不要小看这几个字的变化,这个变化十分重要,而且释放了十分积极的涵义,不是病人数量突然增多了,而是对于新冠肺炎的诊断标准更加详细更加全面细致了,随着全国各地医疗救援队火速增援,湖北的病人诊疗发生了积极的变化。
随着对“新型冠状病毒肺炎”的了解和认识不断加深和诊疗经验的不断积累,针对此次疫情的特点,对于病例的诊断增加了“临床诊断”,以方便患者(包括疑似和待诊患者)可以尽早的接受规范的治疗,做到早诊断早治疗,可以有效提高救治的成功率。
针对目前的疫情,目前主要有3中病例的分类:疑似病例、确诊病例和新增加的“临床诊断病例”。

疑似病例:有明确流行病史;符合“发热和/或呼吸道症状”和“发病早期白细胞总数正常或偏低,或淋巴细胞计数减少”的临床表现。
确诊病例:需要有呼吸道标本或血液标本行实时荧光定量PCR检测新型冠状病毒核酸阳性;或病毒基因测序,与已知新型冠状病毒高度同源。
临床诊断病例:上述疑似病例具有肺炎影像学特征者。
看到这里,大家应该就了解了,如果想确诊,就是需要核酸检测结果为阳性,但在临床实践过程中,存在病毒核酸检测“假阴性”的情况,因此为了减少漏诊病例的出现,临床上结合疑似病例(流行病史+临床症状+血象指标)以及胸部CT影像改变,可以“临床诊断病例”来收治病人,大大增加增加新冠肺炎病人的救治能力,可以大大减少疫情扩散的风险。
我是江苏省中医院临床营养科医师,欢迎大家关注我!
2020年2月12日0时-24时,湖北省新增新冠肺炎病例14840例(含临床诊断病例13332例),
其中:武汉市13436例、黄石市37例、十堰市26例、襄阳市13例、宜昌市26例、荆州市321例、荆门市231例、鄂州市204例、孝感市123例、黄冈市264例、咸宁市9例、随州市31例、恩施州26例、仙桃市20例、天门市69例、潜江市4例。
全省新增病亡242例(含临床诊断病例135例)13332例都是临床诊断患者,只有1508例是按照原来的标准,核酸检测呈阳性确诊的患者。
什么是临床诊断病例?
按照之前确诊标准,主要参考指标是核酸检测阳性,还需要结合CT影像、咳嗽等症状来综合判断。
第五版卫健委的新型冠状病毒肺炎诊疗方案里已经对湖北地区病例提出临床诊断病例问题。
临床诊断即病例符合流行病学史,有发热、乏力、干咳这三项临床表现中的任意一项,影像学(胸部CT)呈现出新冠病毒感染的表现,虽然没有进行核酸检测,也被称为临床诊断患者。按照新的标准,一大批之前没有确诊的患者,现在都确诊了。这样做的目的,就是让临床诊断病例及时得到治疗,对管控也有好处。
为什么诊疗指南特别提出针对湖北地区有临床诊断病例?
主要是其他省多为输入病例!而湖北省有密切接触史的人太多,所以当病例出现临床表现,胸部CT出现新冠肺炎影像特点,就纳入临床诊断病例,及时接受新冠肺炎的治疗。
面对这个突然增加的数据,如何去理解?
主要有几个方面的原因。第一是之前湖北人力不够,现在全国都派医护人员进行驰援,加快了诊疗的速度。其次,中央指导组强调,要“病床等人”不能“病人等床”,确保“应收尽收”。这样原来很多在家隔离的病例就得到了有效的救治,使得确诊病例激增!
综合来说,这几天的全国的数据,呈现下降的趋势,尤其是湖北省以外的地方,虽然病人数量仍在增加,但是增加幅度明显放缓,这是一个好的趋势。
大家仍然要记得勤洗手,戴口罩,少出门,不聚会!坚持到疫情解除!



12日0时-24时,湖北省新增新冠肺炎病例14840例,其中临床诊断病例13332例。
什么是临床诊断病例?为什么要增加临床病例的诊断?

首先说明“确诊病例”的诊断标准,是若核酸检测结果显示为阳性。但近一段时间一来,越来越多的数据显示,一直作为新冠肺炎确诊“金标准”的病毒核酸检测在实践中出现了假阴性的情况。
国家卫生健康委办公厅、国家中医药管理局办公室印发的《新型冠状病毒感染的肺炎诊疗方案(试行第五版)》在湖北省的病例诊断分类中增加了“临床诊断”,以便患者能及早按照确诊病例接受规范治疗,进一步提高救治成功率。病例诊断根据湖北省和湖北省以外其他省份区别对待。

什么是临床诊断病例?
湖北以外其他省份仍然分为“疑似病例”和“确诊病例”两类。湖北省增加“临床诊断”分类。
湖北省的疑似病例的标准为:无论有没有流行病学史,只要符合“发热和/或呼吸道症状”和“发病早期白细胞总数正常或降低,或淋巴细胞计数减少”这2条临床表现,便可考虑为疑似病例。而临床诊断病例,则为疑似病例具有肺炎影像学特征者。
也就是说,相比确诊病例,湖北省临床诊断案例,是尚不具备病原学证据,但具备临床表现、肺炎影像学特征的患者。

简单点说,“临床诊断病例”就是实验室还没确诊,还没有查到核酸检测阳性,只是临床症状“看着像”。也就是说,在没有核算检测之前,有一大部分疑似病例按照临床诊断的标准可以确诊:一有流行病学史,即患者本人或家属在疫区停留史;二是发热、呼吸道咳嗽、憋气的临床症状;三是临床有体征;第四个是CT影像表现。

总之,这样可以尽可能减少漏诊的风险,尽量减少那些潜在的、没有真正地被识别出来的传染源,尽可能降低疫情扩散的风险。湖北病例诊断分类中增加“临床诊断”,以便患者能够早诊早治,进一步提高救治成功率。



