大牙牙套的图片
的有关信息介绍如下:概述大牙牙套即牙齿矫正器,属于口腔正畸治疗范围,但需在医生指导下根据自身情况使用。临床常用大牙牙套有无托槽隐形矫治器、斜面导板矫治器、舌侧矫治器等。外观临床常用大牙牙套有无托槽隐形矫治器、斜面导板矫治器、舌侧矫治器等,外观存在差异,具体如下:无托槽隐形矫治器是一种计算机辅助设计和制作的透明弹性材料活动矫正装置,是一系列连续的矫治装置,通过不断的小范围牙移动,达到牙齿的矫治目的。该矫治器不仅可以控制矫治力的大小,而且可以控制矫治力作用的时间。不同的阶段仅某些牙齿可以移动,而另外的牙齿作为支抗,从而完成目标牙齿的矫正。

斜面导板矫治器上颌基托将矫治器连成一个整体,在下颌偏斜的另一侧上颌矫治器的后牙区基托,塑料向下延伸,作成斜面导板,形成该矫治器的功能部分。

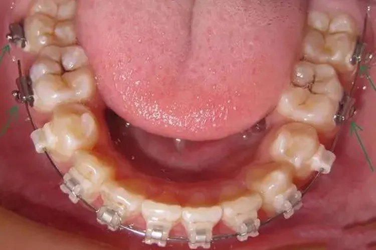
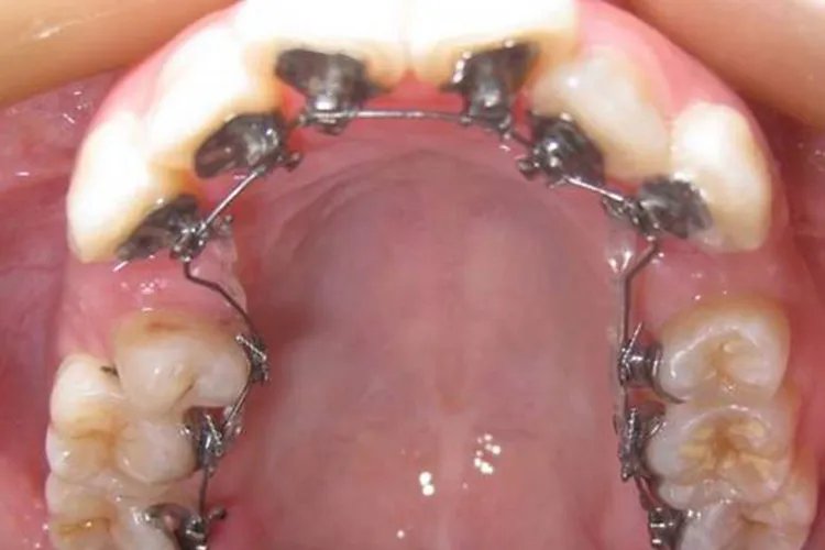
舌侧矫治器将托槽粘接在牙的舌侧面,进行正畸治疗的固定隐形矫治器,对于舌侧矫治器,有效的结扎方法为折叠结扎。折叠结扎不管是弹力圈还是结扎丝,均能有效而充分将唇弓结扎入槽,避免牙齿在移动时出现扭转等不利结果。

原理大牙牙套主要是通过使用矫治器产生力,将力作用于牙、颌骨和颞下颌关节,导致牙周围支持组织、颌骨周围骨缝或关节发生相应的改建,使牙或颌骨产生移动,达到功能和美观要求的理论。



