食道癌的早期症状表现
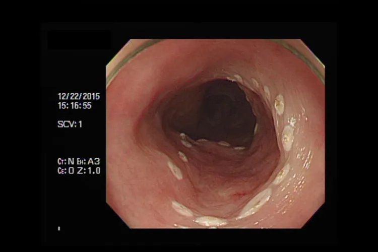
的有关信息介绍如下:概述食道癌早期可无任何自觉症状,有些人仅表现为轻微的吞咽不适,进食停滞感、异物感、烧灼感或微痛。食道癌发病的确切原因目前并不明确,但与致癌性化学物质刺激、炎症、创伤、遗传,以及生活习性等多种因素关系密切。症状食道癌早期可无明显症状,有些患者也可表现为胸骨后不适,灼烧感或疼痛,食物通过有滞留感或轻度梗阻感,咽部干燥或有紧缩感。钡餐造影经常被用来评估食道癌的严重程度。早期食道癌可表现为小隆起病变,小于3.5cm,可表现为斑块状病变伴扁平中央溃疡,无蒂的光滑或分叶状息肉,或局灶性异常食管壁。食管狭窄伴壁表面不光整或不规则时,应及早怀疑食道癌的可能。浅表扩散癌为早期食管癌,其特点为出现边界不清的、融合的结节或斑块。


另外,内镜超声可帮助进行肿瘤分期及判断肿瘤的侵袭深度。

病因食道癌的地理分布特点较明显,各国、各地区的发病率差异性较大,提示其发病可能与地理环境密切相关。食管癌致病原因尚不明确,与食管癌发病有关的因素主要有生活习惯、饮食因素、长期慢性食管病变,摄入亚硝胺类及其前体物质、地理环境因素、微量元素及遗传因素等。诊断食道癌的诊断方法主要包括临床诊断、实验室检查、影像学检查和分子生物学检查等,其中病理组织学检查为确诊食道癌的金标准。治疗早中期的食道癌主要以外科根治手术为主,以放疗、化疗、生物治疗等作为辅助手段进行综合治疗,能够有效缓解症状,延长患者生命周期。中晚期食道癌已错过手术的最佳治疗时期,所以放化疗或分子靶向治疗为主要治疗手段,尽量延长患者的生存时间。



